Стоматологічна клініка АССА / Послуги / Протезування зубів

.jpg#%7B%22size%22:%5B300,155%5D,%22quality%22:8%7D)
Нерівномірна патологічна стирання зубів, гіперфункції м'язів, відсутність зубів. Відновлення естетики та функціональності зубощелепного ряду верхньої та нижньої щелеп.
Кожна людина мріє широко посміхатися у всі 32 зуби, але, на жаль, мало хто може похвалитися повним комплектом зубів, що зберігся аж до старості. Часткове або повне руйнування тканин, втрата або вимушене видалення різців, іклів і молярів - проблема, з якою стикаються люди різного віку. Нерідко подібна проблема ігнорується, а тим часом відсутність зубів провокує нові труднощі, тому важливо своєчасно вдатися до протезування і вставити зуб.
Міцна та естетична безметалева коронка з високою біосумісністю, максимально наближена до природного зуба.
12250
грн
Міцна безметалева коронка з високою точністю прилягання та відмінною естетикою.
12250
грн
Надійне відновлення частини зуба з діоксиду цирконію з точною анатомією та довготривалим результатом.
5 100
грн
Коронка з діоксиду цирконію з гвинтовою фіксацією, що забезпечує точність, міцність і зручність обслуговування.
12250
грн
Індивідуально виготовлена e.max коронка з підвищеною увагою до естетики та деталей.
14 600
грн
Високоестетичний керамічний вінір ручної роботи для ідеальної форми та кольору зубів.
28 000
грн
Тонкий керамічний вінір, виготовлений за CAD/CAM технологією з додатковим нанесенням кераміки для природного вигляду.
12 250
грн
Протезування зубів - це заміна втрачених або сильно пошкоджених кісткових тканин. Необхідність протезування обумовлюється не тільки естетичними міркуваннями, відсутність декількох зубних одиниць ускладнює роботу всієї щелепи, нерівномірний розподіл навантаження провокує ослаблення зв'язок, що утримують зуби - з'являються проміжки, ряд перестає бути рівним і щільним. Відсутність різців змінює дикцію і загалом посмішку, що може призвести до психологічного дискомфорту під час спілкування з людьми. Крім того, неякісне пережовування їжі малою кількістю зубів з часом спричинить проблеми в травній системі. Тож яке рішення в даному випадку пропонує сучасна стоматологія?

Протезування на імплантах можна назвати завершальним етапом імплантації зубів, яка передбачає встановлення металевої опори, що замінює корінь зуба. На це “корінь” згодом встановлюється незнімний протез (коронка). Новий зуб абсолютно не відрізнятиметься від інших, він на 100% виконує свою функцію і в залежності від матеріалу коронки може служити до 25 років.
Фахівці стоматологічної клініки АССА у Києві професійно встановлюють зубні протези на імплантах. Якщо відсутність зуба заважає Вам повноцінно радіти життю, зверніться до нас, і ми допоможемо Вам знову блищати бездоганною усмішкою та не відчувати дискомфорту під час їжі.
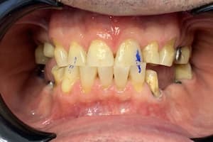
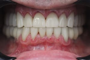
Виражений бруксизм, стирання зубів після гнатологічного обстеження лікар вирішив завищувати прикус до 2 мм і фіксацію центрального співвідношення. Встановлено коронки E.max на свої зуби. Коронки на імплантах виготовлені з металокераміки для запобігання сколам.
Чи лише відсутність зубів є показанням до протезування? Ні. Ви можете вдатися до встановлення коронок у таких випадках:


Встановлення коронки вимагає щонайменше 2 відвідування лікаря. При першому візиті стоматолог оцінює стан наявного зуба, робить рентгенівський знімок, якщо тканини потребують попереднього лікування, то першочергово виконується це завдання. Безпосередньо перед протезуванням лікар готує зуб під майбутню коронку - обточує його або при необхідності нарощує пломбувальний матеріал, після чого встановлює тимчасову коронку. Потім виготовляється зліпок, який вирушає до лабораторії для подальшого виготовлення нового "зуба". При наступному відвідуванні пацієнта встановлюється постійна коронка.
Сучасна стоматологія може запропонувати великий вибір коронок, які за властивостями зовсім не відрізняються від натуральних зубів, і якщо до сьогоднішнього дня Вас турбувала перспектива носіння золотих зубів, то варто відкинути цю думку. Протези можуть бути такими:
Керамічні коронки – однаково міцні та красиві протези, з необхідним рівнем прозорості та дуже натуральною структурою. Такі коронки хоч і довговічні (термін служби - від 10 років), але не призначені для надто агресивної експлуатації, керамікою не можна гризти горіхи і що-небудь розколювати.
Металокерамічні коронки – дуже міцні, довговічні, недорогі. Мають досить натуральний вигляд і колір, оскільки виконуються з керамічним покриттям, однак не мають прозорості, що може мати значення для передніх зубів.
Цирконеві коронки - виготовляються з діоксиду цирконію, демонструють чудові експлуатаційні та естетичні властивості, абсолютно біосумісні та відрізняються хорошим показником приживання. Цирконієві коронки, так само, як і керамічні, ідеально повторюють емаль, мають прозорість і схожу структуру, але на відміну від кераміки є в 2 рази міцнішими.

Догляд за коронками не має на увазі нічого надприродного - це цілком звичайна турбота про порожнину рота: дворазове чищення, використання нитки, і по можливості - ополіскувача. Періодичне відвідування стоматолога дозволить стежити за станом коронок, і в разі чого - здійснювати лікування. Звернувшись до нашої клініки АССА, Ви отримаєте повний комплекс послуг, пов'язаних із протезуванням та подальшим спостереженням! Якщо Вам необхідно вставити зуб - не гайте час і запишіться до нас на консультацію!
.jpg#%7B%22size%22:%5B300,169%5D,%22quality%22:8%7D)
Німецька металокераміка підбирається під будь-який відтінок емалі, надійно і довго служить, витримує сильні жувальні навантаження, доступна ціна на коронки, популярна установка на жувальні зуби.
Висока естетичність, міцність, біосумісність, не змінює свій зовнішній вигляд, відсутність металу надає легкості конструкції, не дає алергічну реакцію, натуральний зовнішній вигляд, anti age коронки.
Бездоганна естетика та надійність, виглядає 100% натурально, не викликає алергій, не сприяє потемнінню ясен, термін служби 20 років, встановлюється на передній, бічних зубах, імплантах
Голлівудська посмішка, тонкі керамічні пластини фіксуються до зовнішньої поверхні зуба, змінюють колір, форму, розмір зубів, закривають щілини між зубами, виправляють кривизну зубного ряду, anti age естетика.
Протезування на імпланті металокерамікою, цирконієвою коронкою, умовно-знімним дуговим протезом на імплантатах Bio Hpp, знімним протезом. Протезуємо на своїх імплантах та встановлених в інших мед.установах.
Культові вкладки (штифти): металеві, керамічні, цирконієво-відновлюють зуб під коронку, . Керамічні вкладки застосовуються замість пломб, мають естетичний вигляд, міцність та функціональність.
Може бути "метеликом", частковим, повним знімним протезом. Виготовляється із міцних матеріалів, можливе застосування за повної відсутності зубів. Відновлює жувальну та естетичну функцію. Доступна ціна.
Естетичний вигляд завдяки прозорій структурі та вибір зубів (металокераміка/кераміка), м'який, еластичний протез. Надійна міцна фіксація на зубах. Антиалергенний, зручний у використанні. Популярний вид протезів.
Сучасний комфортний дуговий протез. Встановлюється навіть у найскладніших випадках. Висока міцність, фіксація, натуральність. витримують будь-яке жувальне навантаження, можна не знімати на ніч, довгострокова служба.
«Відновлення зубів і створення ідеальної посмішки від ортопедів нашої клініки – це не лише виправлення вроджених чи набутих дефектів зубного ряду, а в більшості випадків лікар спеціалізується над рішеннями складних клінічних завдань.
Всі роботи не пройшли жодної обробки і не застосовувався жоден фільтр, з великої кількості портфоліо лікарів, ми виставляємо лише малу частину прикладів робіт»
.jpg#%7B%22size%22:%5B400,435%5D,%22quality%22:8%7D)

.jpg#%7B%22size%22:%5B400,435%5D,%22quality%22:8%7D)
.jpg#%7B%22size%22:%5B400,435%5D,%22quality%22:8%7D)
.jpg#%7B%22size%22:%5B400,434%5D,%22quality%22:8%7D)
.jpg#%7B%22size%22:%5B400,434%5D,%22quality%22:8%7D)
.jpg#%7B%22size%22:%5B400,434%5D,%22quality%22:8%7D)
.jpg#%7B%22size%22:%5B400,434%5D,%22quality%22:8%7D)

.jpg#%7B%22size%22:%5B400,434%5D,%22quality%22:8%7D)


"Ортопедична стоматологія – це один із напрямків стоматології, який займається діагностикою, лікуванням, та встановленням протезів на зруйнований зуб або заміщення всього зубного ряду".
Красиві зуби потрібні людині не тільки для зовнішнього вигляду, але і для повноцінного харчування. Наявність здорових зубів дозволяє добре пережовувати їжу, тим самим покращуючи систему травлення та здоров'я всього організму.
Також при неправильному прикусі, викривленні зубів або простору між ними. В ортопедичній стоматології існує багато способів протезування зубів.
Цей вид протезування повільним кроком іде у минуле, оскільки нові тенденції та технології дозволяють застосовувати більш комфортні конструкції. Але населення доросле ще використовують їх, оскільки це економічно і функціонально. Протези можуть встановлюватися, як у частину відсутніх зубів, і весь ряд. Знімні протези вимагають звикання, але дуже міцні і надійні, а головне функціональні.
Застосовуються, коли відсутня частина зубів. Протез встановлюється на ясна, і прикріплюється деякими гачками до сусідніх зубів.
Їх є кілька видів. І на сьогоднішній день застосовується не тільки через відсутність якогось либа зуба, але й для досконалості посмішки. Перший спосіб – це коронки. Вони встановлюються на зруйнований зуб. У разі відсутності зуба, встановлюється штучний корінь зуба, і тоді на нього ставиться коронка. Якщо відсутні кілька зубів, робиться міст із коронок, і кріпиться до сусідніх зубів. Коронки бувають різні, найпростіші - це металокерамічні, основа металу, покрита керамікою. Висока функціональність, естетика. Більш популярні коронки - високо естетичні, до них відносяться безметалові коронки або іншими словами пресована керамічна коронка, яка складається з кераміки повністю. Так само є керамічні коронки на основі з діоксиду цирконію. Основа цирконій, а вкрита керамікою.
Вініри (голлівудська посмішка) метод цього протезування полягає в ідеальній посмішці, оскільки завдяки керамічним тонким накладкам можна змоделювати посмішку своєї мрії, беручи до уваги побажання пацієнта за формою та кольором зуба, а також приховати недоліки зубного ряду.
Існує багато факторів, наявність яких може призвести до втрати зубів. Не варто забувати про генетичну спадковість. Якщо близький родич мав проблеми із зубами, вона може передатися з поколінням. Також причиною випадання зубів можуть бути травми в отримані в лицьовій щелепі, захворювання ясен, шкідливі звички або запущені захворювання ротової порожнини.
Протезування зубів, перш за все, покращує зовнішній вигляд, нормалізується стан порожнини рота та жувальні функції. Якщо зуб випав і не встановити протез на його місце, це може призвести до деформації щелепи.
Петропавлівська Борщагівка, вул.Паркова, 34а
СБ 10:00-18:00

2012-2026, АССА