
г. Киев, Анны Ахматовой, 5
ПН-ПТ 09:00-21:00
СБ 10:00-18:00

КОМПЛЕКСНАЯ
ЧИСТКА ЗУБОВ
- 55%
АППАРАТ НОВОГО ПОКОЛЕНИЯ
EMS HANDY POWER 2.0
ВМЕСТО СОДЫ-ГЛИЦИН
750 грн / 2 челюсти



СТАРОСТИН АЛЕКСАНДР ВАЛЕРЬЕВИЧ
Главный врач, ортопед-гнатолог, хирург-имплантолог

ПАЛАМАРЧУК ВАЛЕРИЙ ВЛАДИМИРОВИЧ
Челюстно-лицевой хирург

КРЫР АЛЕКСАНДР НИКОЛАЕВИЧ
Стоматолог-терапевт-эндодонт

БАКАНОВА ЯНА ВАЛЕРИЕВНА
Врач стоматолог детский

КАЛЬВАРИ КАТЕРИНА СЕРГЕЕВНА
Стоматолог-ортодонт

СУХОРУКОВ АРТЕМ ВЛАДИМИРОВИЧ
Стоматолог-терапевт
.jpg#%7B%22size%22:%5B399,600%5D,%22quality%22:8%7D)
БАЙРАЧЕНКО ВЛАДИСЛАВ ДМИТРИЕВИЧ
Терапевт-пародонтолог, стоматолог-хирург

КУЗНЕЦОВА АННА ОЛЕГОВНА
Стоматолог-ортодонт

ЕРОХИНА (АХРОМКИНА) МАРИЯ ОЛЕГОВНА
Стоматолог-терапевт-реставратор
.jpg#%7B%22size%22:%5B400,600%5D,%22quality%22:8%7D)
СУХАРЕВА АНАСТАСИЯ ВАЛЕРИЕВНА
Стоматолог-пародонтолог

МЕЛЕЩЕНКО ОЛЬГА АНАТОЛЬЕВНА
Стоматолог-ортодонт
.jpg#%7B%22size%22:%5B400,400%5D,%22quality%22:8%7D)
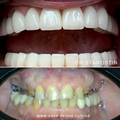
Пациент-кейс 1
Диагноз: неравномерная патологическая стираемость зубов. Сильное нарушение гиперфункции мышц, отсутствие зубов. Восстановление эстетики и функциональности зубо-челюстного ряда верхней и нижней челюстях.
.jpg#%7B%22size%22:%5B400,400%5D,%22quality%22:8%7D)
Кейс 1 (продолжение)
Установлено 10 имплантов, 10 циркониевых коронок на имплантах,(наглядный пример на картинке, отверстия закрываются через неделю после фиксации) и 18 циркониевых (виниров+коронок).Цвет OM1.
Кейс 1 (продолжение)
Цвет ОМ1, подбирали цвет под натуральный оттенок зуба, форму и размер зубов под анатомические особенности пациента.

Кейс 1 (продолжение)
Полное перевоплощение улыбки. Пациент приобрел гармоничную улыбку, которая функционирует как обычные зубы.


Пациент-кейс 2
Полное восстановление зубочелюстной системы, трансформация прикуса. Установлены импланты в боковых отделах верхней и нижней челюсти. Изготовление циркониевых коронок на имплантах и керамических виниров на всю группу зубов.Цвет Bl 3.

Кейс 2 (продолжение)
Установлены имплантанты Straumann SLActive 2 импланта на верхней челюсти и 3 на нижней челюсти в боковые отделах.
Пациент-кейс 3
От ортодонтического лечения пациент отказалась в связи с постоянных проживанием в Майами. Изготовлено ультратонкие керамические виниры на всю группу зубов. Цвет BL2. Срок изготовления работы 5 рабочих дней.

Пациент-кейс 4
Диагноз: неудовлетворительный цвет, форма и наличие старых пломб и реставраций зубов.Реконструкция улыбки с помощью керамических виниров на верхней челюсти. Пожелание пациента однотонный, непрозрачный BL 1.Срок лечения: 10 дней.


Достигнув европейских стандартов, стоматологический центр АССА уверено демонстрирует высокие показатели работы. Именно благодаря потенциалу - новейшему оборудованию, инновационным технологиям и специалистам, оттачивающим свой профессионализм участием в конгрессах, симпозиумах и квалификационных курсах, получившие патенты на изобретения в области ортопедической стоматологии, центр стал высокоуровневым медицинским учреждением.
Растущие требования пациентов к качеству любого рода процедур, будь то лечение кариеса или протезирование, способствуют развитию всех областей стоматологии. Основная задача, стоящая перед врачами- обеспечить максимально возможный результат даже в нестандартных ситуациях, оправдывая надежды пациентов и их финансовые затраты.
Оставив далеко позади времена дискомфорта и болевых ощущений, стоматологическая клиника сегодня может предложить эффективное, безопасное и безболезненное обслуживание. Широта охваченного спектра позволяет оказывать комплексное лечение с участием врачей-стоматологов всех специализаций, а инновационные технологии сделают посещение безболезненным.
Штатный состав: терапевт, ортопед, пародонтолог, имплантолог, хирург, челюстно-лицевой хирург, ортодонт, гнатолог, детский врач-обеспечивают возможность предоставлять услуги, как оперативного характера, так и требующие подготовки и времени.

Благодаря комфортной обстановке и внимательному персоналу посещение нашей клиники не вызывает нервозности и страха.
А предоставление гарантии и обоснованная стоимость убеждают в правильности выбора лечебного заведения.
Стоматологическая клиника АССА – медицинский сервис безупречного качества.
Современное общество не воспринимает личность с беззубым или кариозным ртом, как успешного и привлекательного человека. Атрибут коммуникабельности и имиджа – красивые и здоровые зубы. Для карьерного роста и успехов в личной жизни необходимо позаботиться об этом.
Любую проблему – некрасивую улыбку, пробелы в зубном ряду или боль, сегодня можно решить на высококвалифицированном уровне, который обеспечивают:
Команда стоматологов клиники АССА, которая находится в Киеве, на Позняках имея высокую квалификацию и опыт работы в зарубежных клиниках помогут достичь Вам желаемого результата и сделать Вашу улыбку неотразимой. У нас Вы получите европейское качество и подход к лечению по доступным ценам.
Киев, м. Позняки, ул. Анны Ахматовой, д. 5
ПН-ПТ 09:00-21:00СБ 10:00-18:00
Лицензия МОЗ Украины № АГ 600215 от 24.05.2012

2012-2021, АССА
assadental.info@gmail.com