Стоматологическая клиника АССА / Услуги / Имплантация зубов

З новими зубами ви зможете повноцінно їсти та широко посміхатись
Записуйтеся на консультацію до наших хірургів-імплантологів!
Имплантация – это наиболее безопасная и эффективная методика восстановления удаленного зуба, способствующая полному сохранению его основных функций. Стоматологическая клиника «Асса» оснащена новейшим медицинским оборудованием, позволяющим проводить точную диагностику, выполнять все необходимые манипуляции и следить за качеством оказанных услуг.
Установка импланта в кость
В костной ткани формируется место под имплант, имплант устанавливается с учетом достаточного количества костной ткани, если ее мало, проводиться наращивание кости перед установкой импланта. Изучаются рентгенологические исследования и подбирается правильный тип и размер импланта.
Установка формирователя десны
Установка формирователя происходит в момент установки импланта или через 2-4 месяца в зависимости от системы импланта. Необходим для формирования десны под будущую ортопедическую конструкцию.
Установка абатмента и коронки на имплант
Абатмент- соединительный элемент между имплантом, который находиться внутри кости и коронкой, которая находиться над десной. На абатмент фиксируется постоянная ортопедическая конструкция (коронка/протез) с учетом оптимального выбора материала, размера, формы и конструкции.
8000
грн
14000
грн
15000
грн
20000
грн
22000
грн
29300
грн
4000
грн
12000
грн
Старостин Александр Валериевич
хирург-имплантолог, ортопед-гнатолог
Ведущий специалист в области хирургии и имплантации любой сложности и полной адентии, ортопедии, тотальной реабилитации челюсти и лечение дисфункции суставов- гнатологии. Направление работы: имплантация зубов, костная аугментация, синус-лифтинг, тотальное протезирование зубов, виниры, лечение суставов. Работает по цифровому протоколу в области ортопедии и имплантации. Член Ассоциации имплантологов Украины с 2012 г., Эксперт на телеканале СТБ, канале Украина. Автор патента "Комбінована зубна коронка" № 122926. Опыт работы 15 лет. Работает в клинике АССА с 2012 года.


Паламарчук Валерий Владимирович
Челюстно-лицевой хирург, хирург-имплантолог
Специалист в области челюстно-лицевой хирургии. Врач высшей категории. Сотрудник кафедры челюстно-лицевой хирургии. Направление: имплантация зубов любой сложности, синус-лифтинг (открытый/закрыты) удаление зубов любой сложности, включая атипичные, дистопированные зубы, удаление кист, выполнение всех амбулаторных операций. Член Ассоциации имплантологов Украины. Опыт работы 20 лет. Работает в клинике АССА с 2014 года.
Запишитесь на имплантацию
Мы профессионально и вдумчиво занимаемся любимым делом - имплантацией зубов, поэтому гарантируем высокое качество медицинских услуг и внимательное отношение к пациентам. У нас ведут прием лучшие стоматологи Киева, имеющие большой практический опыт.


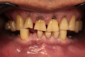
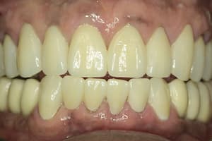
До
После
Удаление 7 зубов, установка 11 имплантов Straumann, временное и постоянное протезирование всех зубов с учетом формы, цвета и размера зубов. Работа с мягкими тканями. Импланты использовались для немедленной нагрузки.
Установка имплантов способна вернуть ослепительную улыбку, подарить возможность наслаждаться вкусной едой и позволяет визуально сбросить несколько лет. Протезирование с применением имплантов пользуется все большим спросом у населения, благодаря минимальной инвазивности и высокой эффективности имплантации зубов.
В нашей клинике при проведении имплантации в качестве зубного имплантата используется заменитель корня зуба, выполненный из титана. Наши специалисты отдают предпочтение двум видам зубных имплантов швейцарского и бразильского производства: Straumann и Neodent, которые отличаются от других систем:



До
После

В следствии боковой кисты центрального зуба, произведено удаление 2х зубов с одномоментной установкой 3х импантов Neodent. Немедленная нагрузка (временное протезирование) через неделю.

Основными условиями к проведению имплантации служат следующие факторы:
Удаление переднего зуба из-за наличия грануляции на верхушки корня. После удаления грануляций, большой костный дефект был закрыт при помощи коллагеновой мембраны и костно-пластического материала, также использовался материал PRF. В последующем имплантация зуба через 6 месяцев.
Продолжительность подготовительного периода, предшествующего имплантации, занимает по времени от нескольких недель до двух месяцев и зависит от состояния зубов, заболеваний ротовой полости и необходимого объема зубной ткани. Примерный алгоритм классической имплантации происходит по следующей схеме:


Отсутствие зубов на верхней челюсти, вследствие генерализированного пародонтоза. Установка 4х имплантов по навигационному хирургическому шаблону. Через 4 месяца изготовление несъемного мостовидного протеза, замещающего зубной ряд с опорой на импланты.
Мы предлагаем ознакомиться с нашим прейскурантом на услуги имплантации, размещенным на сайте клиники. Узнать цену импланта одного зуба, возможно только после осмотра и диагностики специалистами клиники. Стоимость данной услуги складывается из ряда индивидуальных показателей:


До
После


До
После
Полная адентия (отсутствие) зубов на верхней челюсти.Применения технологии all in 6. Имплантация 6 зубов на верхней челюсти. Протезирование зубов коронками Telio Cad армированными титановой балкой.
Потеря зуба в любом возрасте – достаточно неприятная ситуация для человека и дело касается не только эстетической стороны, но и проблем, связанных со здоровьем. Стоматологи просят не откладывать надолго решение этой проблемы и рекомендуют записаться на прием к специалисту на самое ближайшее время, чтобы прибегнуть к процедуре имплантации и своевременно вставить зуб на место утерянного.
Стоматология «Асса» на левом берегу Киева предлагает своим клиентам услугу зуб «под ключ» недорого по акции. Сегодня имплантация – это самый короткий маршрут к красивой улыбке и хорошему настроению.

Имплантация — одна из наиболее популярных стоматологических услуг, позволяющая избавиться от эстетического и функционального дискомфорта, связанного с потерей зубов. Потеря даже одного зуба, со временем тянет за собой множество проблем: нарушается процесс пережевывания пищи, упор начинается на одну сторону, соответственно со временем меняется форма лица и происходит деформация кости на месте удаленного зуба. Меняется тонус мышц на лице, что влечет за собой визуально заметные изменения в виде морщин на лице, особенно страдает зона носогубных складок. Замещая утерянный зуб мостовидным протезом, пациент не решает проблему уменьшение костной ткани, а лишь эстетически прячет эту проблему. Имплантация зубов на сегодняшний день самая современная методика восстановления зубного ряда. Зубной имплантат - это титановый биосовместимый аналог корня зуба, вживляемые в кость челюсти.
Полная адентия (отсутствие) зубов на нижней челюсти.Применения технологии all in 6. Имплантация 6 зубов на нижней челюсти. Протезирование Bio Hpp (инновационная система цельной керамики, вес конструкции на имплантах 15 грамм).


До
После
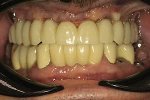
Тотальное протезирование пациента со стираемостью зубов. установлено 8 имплантов в боковых отделах - Neodent с последующим изготовлением вначале временных коронок PMMA Cad CAM а через 3 месяца заменой на циркониевые и E.Max на верхнюю и нижнюю челюсть.
Запишитесь на консультацию
В клинике установлено более 10 тыс. имплантов. Наши хирурги работают с известными мировыми система имплантов.
Специалисты клиники решают тяжелые клинические случаи, в области челюстно-лицевой хирургии, имплантации.
Импланты Neodent, Sraumann, Biohorizons, которые мы устанавливаем сертифицированы и имеют паспорт с пожизненной гарантией.

Жалобы на боль при накусывании на передние нижние зубы. На рентгене наличие грануляций. Удаление 4х зубов и одномоментная имплантация 2х нижних передних зубов. Имплантация системой Straumann, были установлены тонкие импланты с Roxolid , которые способны выдерживать сильные нагрузки.
Диагноз: Отсутствуют 4 нижних передних зуба. Лечение: Установка 2х имплантов с последующим протезированием 4х зубов.


Имплантация зубов нижней челюсти при полной адентии зубного ряда. При имплантации использовался хирургический навигационный шаблон для точного позиционирования имплантов и сокращение времени работы (операция длилась 40 мин). Постоянная ортопедическая конструкция планируется из высокоточного и сверхлегкого материала нового поколения Bio HPP.
Аномалия развития зубочелюстной системы. Врожденная частичная адентия постоянных зубов наличие молочных зубов.Во фронтальном отделе зубы шиповидной формы.
Операция двухсторонний синус-лифтинг. Удаление нижних 4х зубов. Имплантация на верхней челюсти 6 имплантов, на нижней челюсти 2 импланта.
Компьютерное моделирование зубов с завышением прикуса на 7мм. Изготовление временных коронок на верхнюю и нижнюю челюсть для формирования прикуса.


Полное удаление зубов на верхней челюсти. Установка 7 имплантов по хирургическому навигационному шаблону. Изготовление временной конструкции на имплантах через 3 дня. Через 6 месяцев изготовление полного несметного протеза Bio Hpp на винтовой фиксации.
Операция по расщепление альвеолярного гребня на нижней челюсти для имплантации.

Для успешной имплантации необходимо
Петропавловская Борщаговка,
ул.Парковая, 34а
СБ 10:00-18:00

2012-2025, АССА