Стоматологическая клиника АССА / Услуги / Протезирование зубов / Протезирование на имплантах

Протезирование на имплантах подарило возможность людям восстановить потерянные зубы с помощью искусственных зубных корней и последующей установкой на них коронок. Врачи клиники «Асса» в Киеве владеют передовыми методами проведения имплантации и совершенствуют свои знания и навыки в практической деятельности.
В костной ткани устанавливается имплант в подготовленное место с учетом достаточного количества костной ткани. Подбирается правильный тип и размер импланта.
Формирователь необходим для формирование десны под будущую ортопедическую конструкцию. Устанавливается в момент имплантации или через 2-4 месяца.
Применяется в 90% случая, особенно когда речь идет о фронтальных зубах. Абатмент- это соединительный элемент между имплантом, и коронкой. Фиксируется временный абатмент и на него фиксируется временная коронка для создания правильного прилегания к десне.
Установка абатмента и коронки на имплант
Временная конструкция заменяется на постоянный абатмент и постоянную коронку или протез с учетом оптимального выбора материала, размера и формы.
В нашей клинике широко применяется несколько видов протезирования:
К первому относятся:
Ко второму относится:
Какой метод выбрать? Все зависит от числа утраченных зубов, пожеланий пациента и рекомендаций лечащего врача.


До
После


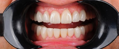
Неравномерная патологическая стираемость зубов. Установлены импланты в боковых отделах верху и внизу. Протезирование на имплантах циркониевыми коронками+ виниры на передние зубы.
Восстановление потерянных зубных единиц за один день за счет вживления имплантов, считается одним из самых успешных способов протезирования. Возможность проведения процедуры и определение объема костной ткани находится в зоне ответственности стоматолога.




Процедура осуществляется по следующей схеме:
All-on-4 или «Все на четырех» – это протезирование на 4 зубные импланта за 1 день. Она подходит пациентам с полным или частичным отсутствием зубов и помогает, даже в самых сложных и запущенных случаях. Успешный метод имплантирования отсутствующих зубов с помощью вживления 4 имплантов и последующей фиксацией на них протезов. Отличительной особенностью методики «Все на четырех» является уникальная схема установки имплантатов: два ставятся прямо в переднем отделе челюсти, а два других ставятся по бокам под углом в 45°. Благодаря такому расположению, протез изначально надежно зафиксирован.

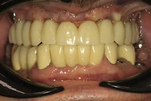
Альтернативный вариант несъемного протезирования. Полная адентия (отсутствие) зубов на верхней челюсти. Применения технологии all on 6. Имплантация 6 зубов системой Neodent на верхней челюсти. Протезирование зубов коронками Telio Cad армированными титановой балкой.


До
После



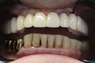
Удаление семи зубов на верхней челюсти. Одномоментная имплантация системой Neodent 6 зубов, предназначенная для немедленной нагрузки (изготовление временных коронок в день имплантации). В день имплантации сняли оттиски для временного протезирования Telio Cad. Конструкция была установлена через 2 недели после имплантации.


До
После


До
После
Если в ваших планах сделать протезирование зубов на имплантах, запишитесь на консультацию в стоматологическую клинику «Асса». Мы вернем вам счастливую улыбку.
Надежная работа
Гарантия результата
Ощутимая помощь
Петропавловская Борщаговка,
ул.Парковая, 34а
СБ 10:00-18:00

2012-2025, АССА